皮肤衰老以胶原纤维断裂、分布紊乱为核心特征,传统真皮填充剂普遍存在易诱发炎症、药物释放不可控、微球形貌与粒径不均等问题,严重限制其临床应用。


基于此,贵州中医药大学药学院王立红教授团队采用同轴微流控技术构建了壳聚糖(CS)包覆的可注射型黄芪甲苷/聚己内酯(AS/PCL)皮下微球填充剂。以聚己内酯(PCL)作为载体支架,凭借其缓释特性与促胶原潜能,为黄芪甲苷(AS)提供长效递送基础;负载黄芪甲苷(AS)以发挥其 “促胶原再生 + 抗炎” 的双重生物活性;采用壳聚糖(CS)包覆以改善聚己内酯(PCL)的疏水性,提升细胞黏附能力与生物相容性,同时利用壳聚糖的 pH 响应性实现药物在炎症部位的精准释放;最后借助同轴微流控技术的精准调控优势,保障微球粒径均一、表面光滑,满足面部填充剂的可注射性与长期留存要求。
该研究将系统表征该微球的理化性质,评价其体外生物相容性,并通过体内实验验证其促胶原再生与抗炎效果,旨在为组织修复与再生医学领域提供一种更安全、更长效的面部抗衰老方案。相关工作以“The pH-dependent injectable chitosan-coated AS/PCL microspheres prepared by coaxial microfluidic technology with collagen-regenerative effects”为题目,发表在期刊《European Polymer Journal》上。
研究亮点:
采用同轴微流控技术制备了新型黄芪甲苷/聚己内酯/壳聚糖(AS/PCL/CS)复合微球,用于抗衰老真皮填充。
该微球表面光滑、粒径均一,且对黄芪甲苷(AS)具有高包封率。
微球呈现pH 依赖性药物释放特性,可在生理环境中实现可控、响应型递送。
经溶血试验、细胞活性、细胞黏附及增殖实验验证,微球生物相容性优异。
体内实验表明,植入该微球后可显著促进胶原再生,并减轻炎症反应。
AS/PCL/CS 微球制备流程
步骤1. 溶液配制
分散相:将 0.4 g PCL 与 0.04 g 黄芪甲苷(AS)溶于 20 mL 二氯甲烷/甲醇(体积比 4:1)混合液中,充分溶解备用。
壳聚糖储备液:将质量分数 2% 的壳聚糖溶于 1%(V/V)乙酸溶液,室温搅拌至完全溶解。
连续相/收集液:取 5 mL 壳聚糖储备液与 10 mL 1% PVA 溶液混合均匀,作为包覆用连续相及收集液。
步骤2. 同轴微流控成型
将连续相和分散相分别通过注射器泵注入同轴微流控芯片的两个进样口,设定分散相流速 50 μL/min、连续相流速 120 μL/min;两相流体在芯片内受剪切力作用,形成均匀微液滴,用收集液承接生成的微液滴。
步骤3. 固化与纯化
将收集到的微液滴在收集液中静置固化 24 h;用超纯水离心洗涤 3 次(1000 rpm,5 min),去除微球表面残留试剂。
步骤4. 包覆定型
将固化纯化后的微球浸入壳聚糖储备液中过夜,形成均匀稳定的壳聚糖包覆层,最终制得 AS/PCL/CS 复合微球,经计算壳聚糖质量占比约 1.26%。

图1 同轴微流控技术制备 AS/PCL/CS 微球的流程图

图2 微球的扫描电镜图及粒径分布图。(a-c) 依次为 PCL 微球、AS/PCL 微球、AS/PCL/CS 微球(250 倍放大);(d-f) 依次为 PCL 微球、AS/PCL 微球、AS/PCL/CS 微球(3500 倍放大);(g-i) 依次为 PCL 微球、AS/PCL 微球、AS/PCL/CS 微球的粒径分布图

图3 接触角分析的水滴图像,对应以下三种材料的表面:(a) 纯 PCL,(b) AS/PCL 微球,(c) 壳聚糖包覆的 AS/PCL 微球

图4 (a) 各样品的傅里叶变换红外光谱图;(b) AS/PCL/CS 复合微球的体外释药曲线;(c) 微球可注射性测试照片;(d) 微球的注射力测试结果;(e) 溶血实验图;(f) 溶血率柱状图(n=3)

图5 (a) 细胞增殖率(n=3,单因素方差分析后进行 Tukey 事后检验,ns 表示无统计学差异;* 表示 p<0.05;** 表示 p<0.01;*** 表示 p<0.001);(b) 微球作用于 L929 成纤维细胞的活性结果图(4 倍放大);(c) L929 成纤维细胞黏附于 AS/PCL/CS 微球表面的扫描电镜图(标尺 = 100.0μm);(d) L929 成纤维细胞形态的扫描电镜图(标尺 = 20μm)

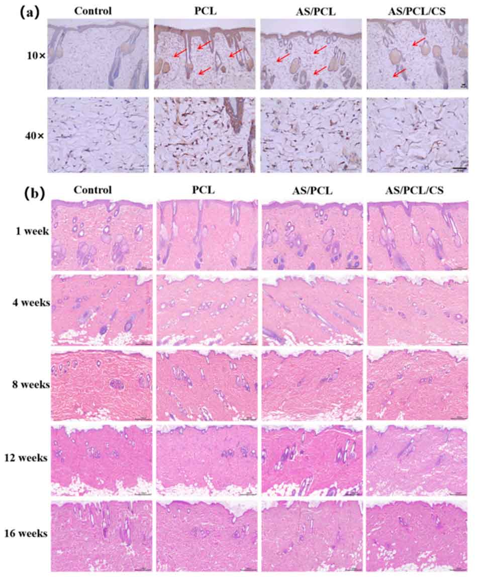
图6 (a) 大鼠皮肤组织 CD68 免疫组化染色结果(放大倍数 ×40);(b) 大鼠皮肤组织 H&E 染色结果(放大倍数 ×100)

图7 (a) 注射生理盐水、PCL 微球、AS/PCL 微球、AS/PCL/CS 微球后不同时间点,大鼠真皮层天狼星红染色的组织学评价(标尺:10μm);(b) 各组真皮层 Ⅲ 型胶原的像素面积比。ns 表示无统计学差异;* 表示 p<0.05,** 表示 p<0.01,*** 表示 p<0.001(n=3,单因素方差分析后进行 Tukey 事后检验,ns 表示无统计学差异;* 表示 p<0.05;** 表示 p<0.01;*** 表示 p<0.001)
论文链接:https://doi.org/10.1016/j.eurpolymj.2026.114639
(本文仅供参考学习及传递微流控研究成果,版权归原作者所有,如侵犯权益,请联系删除)
上一篇:一图读懂综述:微流控技术用于细胞外囊泡分离、检测与工程化研究进展
下一篇:暂无






